このホームページは日本矯正歯科学会の医療広告ガイドラインに
則って掲載しております。
MENU
よくある矯正治療の疑問・お悩み



ステラ矯正歯科が目指す矯正治療
江戸川区瑞江のステラ矯正歯科が目指す矯正治療は、「矯正治療を通して口の中がより良くなること」
歯並びは美しくなったけど噛めなくなったり、喋りづらくなってしまっては、矯正治療をしたことに後悔してしまうかもしれません。
ステラ矯正歯科では、見た目の審美性はもちろん、噛み合わせも考慮し、美しさと機能の両方を兼ね備えた治療をご提供します。
美しさ
綺麗な歯並び
調和のとれた口元
治療結果の長期安定
機能
良く噛める噛み合わせ
呼吸や姿勢を含めた
お口に関わる機能改善
健康な口腔環境の提案



ステラ矯正歯科は、矯正治療を専門に行う歯科医院です。院長は日本矯正歯科学会認定医、矯正専門医院で7年間常勤経験があります。
学会でのポスター発表や口頭発表を経験し、2016年に顎変形症学会で賞を頂きました。矯正治療についての知識・経験を日々研鑽しております。
また矯正を専門に行うため、矯正の調整や万一のトラブルも安心して通院いただけます。


矯正治療中は、装置の装着によりむし歯リスクが高まります。むし歯から歯を守るために、一人一人の患者さまに合ったオーダーメイドのむし歯予防を行います。治療を始める前に全ての患者さんに唾液検査を受けて頂き、ご自身のリスクの把握し、ご自身のお口に合わせた予防方法をお教えします。矯正治療後に、綺麗な歯並びと口腔環境でいられるように、セルフケアを一緒にサポートします。


女性として、また母として、個々の患者様の価値観やライフスタイルを考慮しつつ、専門家としてアドバイスを致します。
院内には、ベビーカーのまま入ることができますので、赤ちゃん連れでも安心です。またママやご兄弟が治療中はキッズスペースで遊んで待っていられるためお子さまがいても通院しやすい環境を整えています。


透明で目立ちにくいマウスピース型矯正装置「インビザライン※」や矯正治療をスムーズに進める矯正用アンカースクリュー等、患者様にとってより良い治療方法を積極的に学び、取り入れております。 選択肢のある矯正治療で、患者様のご要望にお応えできるように努めております。
※完成物薬機法対象外の装置であり、医薬品副作用被蓋救済制度の対象外となる場合があります。


歯が綺麗に並ぶことだけではなく、フェイスラインも美しく、そしてしっかり噛める矯正治療を行います。また、舌の使い方や飲み込み方、呼吸、姿勢なども歯並びと関係しています。矯正治療後も綺麗な歯並びを持続させるためには、機能改善も大変重要です。
当院では、機能面が正しく機能するような、トレーニングも同時に行なっていきます。


抜歯やむし歯治療を行う一般歯科医や歯周病専門医、口腔外科医と連携をしながら矯正治療を行います。
また、歯科のみならず歯並びと関係の深い耳鼻科医とも連携を取りながら診療を進めていきます。


カウンセリングルームで患者様のお話を丁寧にお聞きし、視覚的に分かりやすい説明を行います。診断や治療方法、注意事項など必要なことは口頭説明だけでなく手元に残る資料としてお渡ししますので、ご安心ください。
また、定期的な院内ニュースレターでは矯正治療だけでなく健やかな人生のための情報を発信していきます。


未来の子ども達のために、環境への配慮をした診療を行なっていきたいと考えています。
エコ診療やEM洗剤の使用を考えています。
マイコップ持参などにご協力頂けると環境保護への募金をさせていただきます。


幅広い歯並びに対応
歯の一つ一つにブラケットと呼ばれるボタン状の装置を接着し、そのボタンにワイヤーを固定することで歯を動かす治療です。幅広い症例に対応できる。結果に安定感があることから、現在の矯正治療の主要な矯正装置です。

透明で目立ちにくい矯正
透明で取り外しができるマウスピースを使用した矯正治療です。2週間に1回新しいマウスピースに変え、少しずつ歯を動かしていきます。インビザラインは、世界100カ国で提供され実績の多いマウスピース矯正装置です。

より確実に効率よく
歯を動かす
アンカースクリューを使用すると、動いてほしくない歯を固定することができます。これにより歯をより確実に、効率よく動かすことができます。また、動かすのが難しい歯も予想通りに動かすことができます。


経過観察期
矯正治療は、早く始めれば早く終わる訳ではありません。お子さまの矯正治療は成長を利用するため、成長に合わせた治療開始のタイミングを見極める必要があります。歯並びが気になる方は、まずはご相談ください。治療開始の目安をお教えします。

Ⅰ期治療
小学1年生を過ぎると、乳歯から永久歯へと生え変わり、歯並びの特徴がはっきりしてきます。この時期は、成長が活発なためⅠ期治療に最適な時期です。Ⅰ期治療では、正しい成長へと促し歯を並べる土台を築きます。小学1年生になったら相談しましょう。

Ⅱ期治療
男女や個人差はありますが、中学生2年生になると成長が終わります。第2臼歯が生えてきたら大人と同じ矯正治療を行います。ただし、骨の代謝は20代に比べて活発なため、治療を短縮できるメリットがあります。
お子さまの
歯並び別矯正治療

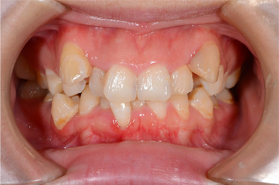
歯の大きさに対して顎が小さく、歯が顎のスペースに並びきらないことが原因でガタガタになってしまいます。成長期のお子さまの場合は、顎を広げる治療で歯を並べるスペースをつくります。

上の前歯が外側に出ている状態です。口が閉じにくいことから、口が乾燥し汚れが落ちにくく、むし歯や歯周病のリスクが高くなります。

奥歯を噛み合わせても前歯が噛み合わない状態です。発音障害や顎関節症の原因となることがあります。

歯と歯の間に隙間がある状態です。噛みづらさや発音に問題が出ることもあります。

上の前歯が外側に出ている状態です。口が閉じにくいことから、口が乾燥し汚れが落ちにくく、むし歯や歯周病のリスクが高くなります。

下の前歯が上の前歯より前に出ている状態です。前歯で物が噛みきれなかったり、発音障害の原因にもなります。

下の奥歯が上の奥歯より外側にあり、上の奥歯に覆われていない状態です。顎が曲がって成長してしまうため早期の改善が必要です。

院長 西田 英莉
はじめまして、院長の西田英莉と申します。
実は、私自身も中学生の時、矯正治療の経験があります。
その時は矯正治療が嫌で嫌で。。。終わった後も、喜びというよりホッとした感じでした。治療して下さった先生は無口で、周りのスタッフにも笑顔がなく、怖かったことをよく覚えています。それでも今は治療を受けて本当に良かったと思っています。
矯正治療で得られることは単に歯並びがきれいになるだけでなく、口元を中心とした顔立ちを整え、よく噛めることで全身の健康にもつながります。
歯並びが整えばケアもしやすくなり、生涯自分の歯で健やかな人生を送れる可能性を高めます。
矯正治療経験者として、また女性として、母として自分や家族が通うならどんな医院がいいか、どんな治療を受けたいかを念頭に置き診療していきます。
確かに、矯正治療には大変なこともあります。私達はそんな時、専門知識と共感力を活かし一番側にいる対等なサポーターであると考えています。ステラ矯正歯科は、瑞江駅に近いことから、一之江、船堀や小岩などからも通いやすい立地にあります。まずは治療にまつわる小さな不安、素朴な疑問、ぜひお話し下さい。

院長 西田 英莉
ステラ矯正歯科では、矯正治療について知りたい方のために無料矯正教室を開催しています。矯正治療とは?治療期間は?費用はどれくらい?など一般的な矯正治療についてお伝えいたします。歯並びのご相談をしたい方は、「初診矯正相談」からご予約ください。レントゲンやお口の写真を撮影し、おおよその治療方針や期間。費用などをご説明します。


